Prendre Rendez-vous en ligne
Signaler cette page
Adresse:

Rue Mohamed El Fassi au dessus de la Banque Populaire Quartier Al Salam, 80000, Agadir

Voir sur la carte

Modes de règlement:
  • Paiement en espèces
  • Paiement par chèques
  • Paiement par carte bancaire


Géolocalisation:
Détails d'accès:

Au dessus de la Banque Populaire


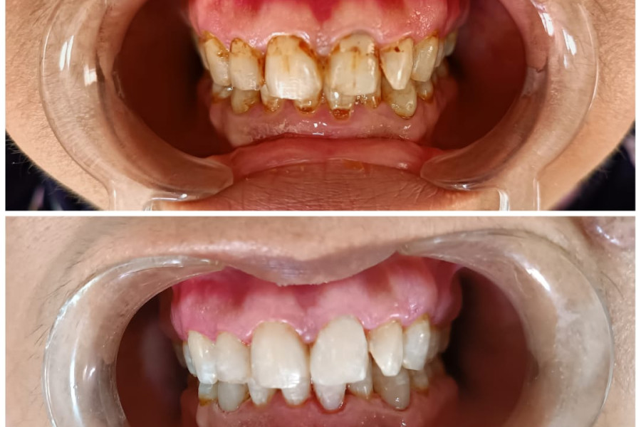
Présentation du cabinet:

Cabinet du Dr. ABID AHLAM
Notre cabinet vous propose une gamme complète de soins dentaires pour une santé bucco-dentaire optimale et un sourire éclatant :

✅ Orthodontie – Alignement et correction dentaire
✅ Blanchiment – Éclaircissement des dents pour un sourire lumineux
✅ Traitements et chirurgie – Soins dentaires et interventions chirurgicales
✅ Facettes et esthétique – Amélioration de l'apparence du sourire
✅ Couronnes fixes en céramique et zircon – Restaurations durables et esthétiques
✅ Prothèses amovibles – Solutions adaptées pour un confort optimal


Langues Parlées:
  • Arabe
  • Français
  • Anglais
Signaler cette page